・脂肪の定着量がUP
従来の脂肪注入はもちろん、これまで最高峰といわれていた脂肪注入を大きく上回る脂肪定着量を実現しました。
・リスクを回避
独自のコンデンス(濃縮)技術で死活・老化細胞を取り除いた濃縮脂肪を、無菌状態で注入。しこりや脂肪壊死が起こりにくくなりました。


コンデンスリッチフェイス法では、コンデンス(濃縮)技術により、死活・老化細胞のみを分離し、健全な脂肪のみを抽出します。そのため、 リスクを抑えながらも多くの脂肪を注入することができ、定着量も多くなります。
そのポイントは
★ 注入脂肪をコンデンス(濃縮)する
★ 高濃度の細胞を配合
注入脂肪の濃縮率、細胞の濃度、それらの配合比率が定着率の良しあしを決定します。
でもそこは企業秘密なのでお教えできません!
コンデンス(濃縮)技術は、脂肪組織に圧力を加えることにより、死活・老化細胞を除去し、健全な脂肪細胞と細胞を濃縮することができる技術です。その技術の秘密は、特許も取得しているウェイトフィルターにあります。 このウェイトフィルターを装着した状態で行うプロセスのため、空気中の菌やほこりなどに触れない環境になり、感染症等のリスクを大幅に削減しました。同時に、脂肪の定着を良くし、石灰化(しこり)や脂肪壊死といったこれまでの脂肪注入特有の合併症を防ぐことにもなりました。
このように、コンデンスリッチフェイス法のコンデンス技術は、効果と安全面で大変優れています。
コンデンスリッチ脂肪注入のウェイトフィルターには3つのポイントがあります。
1.ウェイト効果
ウェイトフィルターは、通常の遠心分離に比べ、脂肪にかかるG(圧力)が約25倍になります。
このウェイト(重さ)の効果により、G(圧力)に耐えられない老いた弱い脂肪細胞は排泄オイルになります。そしてこの時、約25倍のG(圧力)に耐えられた強く健全な脂肪細胞(コンデンスリッチファット)のみを抽出することができ、注入に使用されます。

2.フィルタリング技術
ウェイトフィルターには、液体だけを通す小さな穴があり、液体となった排泄オイルと健全な脂肪細胞をしっかり分離させることができます。

3.空気に触れないプロセス
全てのプロセスは、ウェイトフィルターにより密室状態にされたシリンジ内で行います。
注入する脂肪は空気に触れない無菌状態になり、感染症等のリスクを大幅に削減しました。

| ヒアルロン酸注入 | 従来の脂肪注入 | コンデンスリッチファット注入 | |
|---|---|---|---|
| 治療内容 | 注射器でヒアルロン酸を注入する。 | 吸引した自分の脂肪をそのまま注入する。 | 吸引した自分の脂肪をコンデンス(濃縮)技術により、濃縮脂肪細胞(CRF)とし注入する。 |
| 適応 | 部分的な改善 | 顔全体 (頬、こめかみ、額、目の上、鼻唇溝) |
顔全体 (頬、こめかみ、額、目の上、鼻唇溝) |
| メリット | 注射だけで手軽 | 何度も繰り返す必要がない | 何度も繰り返す必要がない |
| デメリット | 吸収されてなくなるので繰り返し必要 | 部位により定着率が悪い(こめかみなど) しこりになることがある |
高価 |
| 定着率 | - | ★★★☆☆ | ★★★★☆ |
| 持続効果 | 約半年で吸収される | 長い | 長い |
| 質感 | 硬い | しこりになることがある | 自然 |
| 施術時間 | 数分 | 約1時間 | 約1時間半 |
| 施術注入する脂肪の質 | - | コンデンスされていない脂肪 (死活・老化細胞を含む) | コンデンスされた健全な脂肪細胞 (CRF) |
| 術後の痛み | 少ない | 少ない | 少ない |
| 合併症の可能性 | 皮下出血、硬結(しこり) | 皮下出血、目の上のしこり | 皮下出血 |
| 施術可能施設 | 皮膚科(美容)、美容外科 | 美容外科 | CRF認定施設のみ ※当クリニックはCRF認定施設です |
| 札幌院 |
仙台院 |
新宿本院 |
||
| 渋谷院(女性限定院) |
池袋西口院 |
上野院 |
||
| 立川院 |
町田院 |
大宮東口院 |
||
| 柏院 |
横浜院 |
川崎院 |
||
| 橋本院(神奈川県相模原市) |
藤沢院 |
名古屋院 |
||
| 京都院 |
大阪梅田院 |
大阪心斎橋院 |
||
| 神戸院 |
広島院 |
福岡院 |
![]() |
![]() |
|
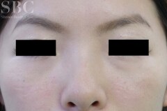
| 執刀医:藤巻直人 医師 |
![]() |
![]() |
|
| 執刀医:藤巻直人 医師 |
![]() |
![]() |
|
| 執刀医:福澤見菜子 医師 |
![]() |
![]() |
|
| 執刀医:竹内直生 医師 |
| 注射で若返り - コンデンスリッチフェイス法 |
|---|
|
コンデンスリッチフェイス法 ※表参道院では取り扱っておりません ※同部位2回目以降の料金は、通常料金の半額(麻酔代除く)となります。 また同部位2回目以降の半額でのご案内は初回治療日から1年以内となります。 |
| 施術名 | 価格 (税込) |
![]() |
![]() |
![]() |
![]() |
![]() |
|
| 採取作成料(※) | 145,800円 | ![]() |
|||||
| CRF作成のみ(※) | 81,000円 | ||||||
| ※料金は採取作成料+部位ごとの追加料金になります (例)法令線の場合 145,800円(採取作成料)+81,000円(部位料金)=226,800円(税込) (ただし、脂肪吸引・脂肪注入豊胸と同時施術の場合、採取作成料は不要です。CRF作成料のみ加算) ※コンデンスリッチ豊胸と同時施術の場合は、採取作成料・CRF作成料ともに不要です ※ただし、脂肪吸引での脂肪量が確保できず、他部位より追加採取する場合は、採取作成料・CRF作成料が必要となります |
|||||||
| ▼部位ごとの追加料金 ※治療する箇所により合算値が変わるため、詳しくはスタッフにお尋ねください |
|||||||
| ・口角 | 60,750円 | ![]() |
|||||
| ・法令線 ・ゴルゴ ・目の上 ・目の下 ・顎先 ・唇(上・下各々) |
81,000円 | ||||||
| ・目の下~ゴルゴ ・こめかみ ・頬 |
121,500円 | ||||||
| ・額 | 202,500円 | ||||||
このページでは、しみ、しわ、たるみ、ほうれい線といった加齢によるお悩みに対して、湘南美容クリニックで提供している若返りの施術内容や料金、ダウンタイム、保証サービス等をご確認頂けます。また、当院で実施した若返り施術の症例写真を数多く公開し、お客様が術後のイメージを連想しやすい環境も用意させていただきました。
湘南美容クリニックの若返りは、ダウンタイムの少ないヒアルロン酸注射などをはじめ、人気のあるレーザー治療や、糸や手術によるリフトアップ、内服薬や外用薬を使用した若返り法などがございます。カウンセリングでは、担当医師がお客様のお悩みやご要望をしっかりと伺い、診断によって肌やしわの深さな等の状況確認後、最善の若返り治療をご提案させていただきます。何かご質問などがあれば遠慮せずに医師までご連絡ください。
我々は、「美容整形をもっと身近に」を合言葉に若返りの治療内容、治療経過、カウンセリング内容をオープンにし、 クリニック内の顔が見える運営を心がけると共に、美容外科に携わるスタッフすべてが胸を張って仕事ができる環境を作ることを使命とし、 技術向上、積極的な情報開示、社会貢献に取り組んでいます。
湘南美容クリニックは第103回日本美容外科学会学会長を務めた相川佳之をはじめ、日本美容外科学会(JSAPS)専門医、日本美容外科学会正会員、日本形成外科学会専門医 、 先進医療医師会 参与、日本再生医療学会 理事長補佐、国際美容外科学会(International Society of Aesthetic Plastic Surgery)Active Member、医学博士、厚生労働省認定臨床研修指導医、日本整形外科学会・専門医、日本麻酔科学会認定医、厚生労働省麻酔科標榜医、日本外科学会専門医・正会員、日本胸部外科学会正会員 、日本頭蓋顎顔面外科学会会員、日本静脈学会会員医学博士、日本医師会認定産業医、日本抗加齢医学会会員、日本マイクロサージャリー学会会員、GID(性同一性障害)学会会員、日本脂肪吸引学会会員、美容皮膚科学会正会員、日本レーザー治療学会会員などの資格を保有した医師が在籍しております。
新宿本院 居川和広医師が悩める女性が美容整形を決断に出演しました。
新潟院 深江邦彦医師がシワ取り注射についてコメントしました。
金沢院 円戸望医師が二重術についてコメントしました。



