アイバックリムーブ法は皮膚・筋肉・脂肪を調整して、目の下の凹凸だけでなく、皮膚のたるみも最小限に目立ちにくくできる施術です。皮膚の切開線はまつ毛の際に隠しますので、お時間が経過すればほとんどわかりません。
| 施術時間 | 60~90分 |
| 固定 | なし |
| ダウンタイム | 1週間 |
| 腫れ (★~★★★) |
★★★ |
| 傷跡 | 目の下の際 |
| 通院回数 | 1~2回 |
| 抜糸 | 5~7日後 |
| 持続性 | 半永久的 |
| 洗顔 | 目元=48時間後~ |
| メイク | 目元=1週間後~ |
| シャワー | お顔以外当日より可 |
| 入浴 | 1週間後~ |
| 備考 | コンタクト 1週間後~ |
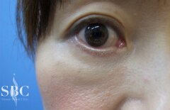
アイバックリムーブはまつ毛の直下から皮膚を数ミリ切り取り、皮膚をひきあげて縫い縮める手術です。下まぶたの皮膚は体の中でもっとも薄く、紫外線や瞬きなどの影響も受けやすいために最もたるみが顕著に現れる部分です。眼球の周りの脂肪が膨らんでいる方は同時に余剰脂肪を切除することですっきりとした下まぶたを作ることができます。まつげ直下の傷は1-2ヶ月間は赤みがありますが化粧で十分隠すことができます。下まぶたのたるみはコラーゲンの塗布や化粧品でも改善は可能ですが一時的な効果にとどまります。下まぶたのたるみをしっかりと取りたい方、化粧品では満足できない方にお勧めです。
辻堂アカデミア院長 飯田 秀夫 医師
![]() |
![]() |
|
| 執刀医:須田陽一 医師 |
![]() |
![]() |
|
| 執刀医:中村大輔 医師 |
![]() |
![]() |
|
![]() |
![]() |
|
| 執刀医:須田陽一 医師 |
![]() |
![]() |
|
| 執刀医:須田陽一 医師 |
![]() |
![]() |
|
| 執刀医:須田陽一 医師 |
| 目元治療 - 目もとの若返り |
|---|
| 目もとの若返り |
| 施術名 | 価格 (税込) |
![]() |
|
| 目元周辺の注入若返り治療 湘南Vista Eye ※銀座院、町田院、柏院、横須賀院では取り扱っておりません |
2cc | 89,000円 | ※割引対象外 となります |
| マイクロリポサクション法 |
片目 | 32,400円 | ![]() |
| 両目 | 54,270円 | ||
| モデル、芸能人に人気 アイバックリムーブ法 |
片目 | 115,830円 | |
| 両目 | 176,980円 | ||
| 目の下の切らないたるみ取り |
- | 98,000円 | |
| 若々しい目元に! 切開ハムラ法 |
片目 | 196,800円 | ![]() |
| 両目 | 328,000円 | ||
| 若々しい目元に! 裏ハムラ法 |
- | 328,000円 |
このページでは、しみ、しわ、たるみ、ほうれい線といった加齢によるお悩みに対して、湘南美容クリニックで提供している若返りの施術内容や料金、ダウンタイム、保証サービス等をご確認頂けます。また、当院で実施した若返り施術の症例写真を数多く公開し、お客様が術後のイメージを連想しやすい環境も用意させていただきました。
湘南美容クリニックの若返りは、ダウンタイムの少ないヒアルロン酸注射などをはじめ、人気のあるレーザー治療や、糸や手術によるリフトアップ、内服薬や外用薬を使用した若返り法などがございます。カウンセリングでは、担当医師がお客様のお悩みやご要望をしっかりと伺い、診断によって肌やしわの深さな等の状況確認後、最善の若返り治療をご提案させていただきます。何かご質問などがあれば遠慮せずに医師までご連絡ください。
我々は、「美容整形をもっと身近に」を合言葉に若返りの治療内容、治療経過、カウンセリング内容をオープンにし、 クリニック内の顔が見える運営を心がけると共に、美容外科に携わるスタッフすべてが胸を張って仕事ができる環境を作ることを使命とし、 技術向上、積極的な情報開示、社会貢献に取り組んでいます。
湘南美容クリニックは第103回日本美容外科学会学会長を務めた相川佳之をはじめ、日本美容外科学会(JSAPS)専門医、日本美容外科学会正会員、日本形成外科学会専門医 、 先進医療医師会 参与、日本再生医療学会 理事長補佐、国際美容外科学会(International Society of Aesthetic Plastic Surgery)Active Member、医学博士、厚生労働省認定臨床研修指導医、日本整形外科学会・専門医、日本麻酔科学会認定医、厚生労働省麻酔科標榜医、日本外科学会専門医・正会員、日本胸部外科学会正会員 、日本頭蓋顎顔面外科学会会員、日本静脈学会会員医学博士、日本医師会認定産業医、日本抗加齢医学会会員、日本マイクロサージャリー学会会員、GID(性同一性障害)学会会員、日本脂肪吸引学会会員、美容皮膚科学会正会員、日本レーザー治療学会会員などの資格を保有した医師が在籍しております。
新宿本院 居川和広医師が悩める女性が美容整形を決断に出演しました。
新潟院 深江邦彦医師がシワ取り注射についてコメントしました。
金沢院 円戸望医師が二重術についてコメントしました。


