FGF(線維芽細胞増殖因子)を気になる箇所に注入し、シワや肌のくぼみなどを治療する再生医療です。
FGFは人体に元々ある細胞で、特定の細胞の増殖や分化を促進する作用があります。
肌の若々しさ、ハリ、弾力が失われる原因は真皮層のコラーゲンの減少によるものです。これはコラーゲンを産生している「線維芽細胞」と呼ばれる細胞が減少したり働きが弱まってしまう線維芽細胞の老化等により引き起こされています。
『線維芽細胞増殖因子』は、人間の体内にあるたんぱく質の一種で、線維芽細胞そのものを増殖させ、コラーゲンやエラスチンの生成を活発に繰返し若返りを促進します。
「線維芽細胞増殖因子(FGF)」を気になる箇所に注入することで、線維芽細胞を再生させ、お肌が元々もっていた再生力を取り戻す事が可能です。線維芽細胞が活発に働くことで、コラーゲンが真皮に保持され、弾力と透明感ある潤ったお肌になります。

通常、角質層より以下の細胞層へ成分が届くことはありません。
しかし、皮膚表面にはFGF受容体が存在します。FGFとその受容体が結びつくことで、真皮内の線維芽細胞に指令を送ることができます。それによりコラーゲン生成、エラスチン生成、ヒアルロン酸生成が強力に促進されます。
FGFは、線維芽細胞をはじめとするさまざまな細胞に対して増殖活性や分化誘導など多彩な作用を示す多機能性細胞間シグナル因子なのです。

肌再生FGF注入療法の
メリット
このような症状が気になる方は「肌再生FGF注入療法」がおすすめです!
| PRP皮膚再生療法 | W-PRP皮膚再生療法 | 肌再生FGF注入療法 | |
|---|---|---|---|
| 効果 ※個人差があります |
・1年以上 ・年齢、体質、血小板の濃度等により効果の差が大きい |
・1年以上 ・従来のPRPに比べ、3~5倍程度向上 |
・~3年 |
| 効果を実感するまでの時間 ※個人差があります |
・2~4ヵ月後から実感 | ・1~2ヵ月後から実感 | ・2週間~1ヶ月後から効果を実感 |
| 施術時間 | ・約40~60分 (採血の時間を含む) |
・約40~60分 (採血の時間を含む) |
・約10~15分 |
| 腫れ | ・3日程度 ・術後すぐにメイク可能 |
・3日程度 ・術後すぐにメイク可能 |
・2~3時間程度 ・術後すぐにメイク可能 |
| 治療内容 | ・自分の血液から取り出した多血小板血漿を気になる部位に注入する | ・血小板を6~10倍まで濃縮し、 さらに通常のPRP療法にはほとんど含まれていなかった白血球を適量混合させた「自己白血球含有多血小板血漿」を注入する方法 |
・bFGF(線維芽細胞増殖因子)を 気になる部分に直接注入 |
| 適応箇所 | ・目尻の表情ジワ、肌のハリ、目の下のちりめんジワ、クマ、にきび跡 | ・目尻の下のたるみ、深いシワ、クマ、くぼみ、ほうれい線等 | ・胸以外のシワ、くぼみ等 |
| 治療の流れ | ・自己の血液を採取 ・遠心分離器にて多血小板血漿を取り出す ・気になる部分に注射 |
・自己の血液を採取
・遠心分離器にて白血球含有多血小板血漿を取り出す ・気になる部分に注射 |
・気になる部分に注射 |
ヒアルロン酸はシワやくぼみがある箇所の皮下に注入すると、充填剤として機能しくぼみを押し上げて肌を平らにすることが可能です。
即時にシワが目立たなくなりますが、成分が徐々に体内に吸収され、3~4ヶ月後には元に戻ってしまうため再注入が必要です。
すぐにでも効果を実感されたい方や一時的な改善を望まれる方に適した治療方法です。
FGF(線維芽細胞増殖因子)は、注入すると、注入された箇所の周辺の線維芽細胞が増殖しエラスチンの生成を繰り返していきます。ヒアルロン酸のように体内に吸収され消滅することが無いので、長期にわたり効果を維持することが可能です。
| ヒアルロン酸 | 肌再生FGF注入療法 | |
|---|---|---|
| 持続性 | 3~12ヶ月 | 3年程度 |
| 即効性 | 注入後すぐに効果を実感 | 2週間~1ヶ月程度で効果を実感 |
| ダウンタイム | ほぼ無し~2週間程度 | ほぼ無し~2週間程度 |
| お肌の活性化 | 効果なし | 効果あり |
| メイク・生活 | 術後すぐにメイク可能 施術当日は激しい運動、飲酒、喫煙を控える |
術後すぐにメイク可能 施術当日は激しい運動、飲酒、喫煙を控える |
※ 種類、部位により個人差がございます。
![]() |
![]() |
|
| 執刀医:加藤周 医師 |
![]() |
![]() |
|
![]() |
![]() |
|
| 執刀医:富山正行 医師 |
![]() |
![]() |
|
| 執刀医:坂西寛信 医師 |
![]() |
![]() |
|
| 執刀医:坂西寛信 医師 |
![]() |
![]() |
|
| 執刀医:吉原伯 医師 |
| 注射で若返り - 肌再生FGF注入療法 |
|---|
|
肌再生FGF注入療法 ※湘南美容クリニックAGA新宿院、湘南メディカル記念病院(両国)、横須賀院では取り扱っておりません ※新潟院では目の下への注入は対応しておりません |
| 施術名 | 価格 (税込) |
![]() |
|
| 1回 | 1箇所 | 49,800円 | ![]() |
| 2箇所同時 | 94,800円 | ![]() |
|
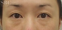
このページでは、しみ、しわ、たるみ、ほうれい線といった加齢によるお悩みに対して、湘南美容クリニックで提供している若返りの施術内容や料金、ダウンタイム、保証サービス等をご確認頂けます。また、当院で実施した若返り施術の症例写真を数多く公開し、お客様が術後のイメージを連想しやすい環境も用意させていただきました。
湘南美容クリニックの若返りは、ダウンタイムの少ないヒアルロン酸注射などをはじめ、人気のあるレーザー治療や、糸や手術によるリフトアップ、内服薬や外用薬を使用した若返り法などがございます。カウンセリングでは、担当医師がお客様のお悩みやご要望をしっかりと伺い、診断によって肌やしわの深さな等の状況確認後、最善の若返り治療をご提案させていただきます。何かご質問などがあれば遠慮せずに医師までご連絡ください。
我々は、「美容整形をもっと身近に」を合言葉に若返りの治療内容、治療経過、カウンセリング内容をオープンにし、 クリニック内の顔が見える運営を心がけると共に、美容外科に携わるスタッフすべてが胸を張って仕事ができる環境を作ることを使命とし、 技術向上、積極的な情報開示、社会貢献に取り組んでいます。
湘南美容クリニックは第103回日本美容外科学会学会長を務めた相川佳之をはじめ、日本美容外科学会(JSAPS)専門医、日本美容外科学会正会員、日本形成外科学会専門医 、 先進医療医師会 参与、日本再生医療学会 理事長補佐、国際美容外科学会(International Society of Aesthetic Plastic Surgery)Active Member、医学博士、厚生労働省認定臨床研修指導医、日本整形外科学会・専門医、日本麻酔科学会認定医、厚生労働省麻酔科標榜医、日本外科学会専門医・正会員、日本胸部外科学会正会員 、日本頭蓋顎顔面外科学会会員、日本静脈学会会員医学博士、日本医師会認定産業医、日本抗加齢医学会会員、日本マイクロサージャリー学会会員、GID(性同一性障害)学会会員、日本脂肪吸引学会会員、美容皮膚科学会正会員、日本レーザー治療学会会員などの資格を保有した医師が在籍しております。
新宿本院 居川和広医師が悩める女性が美容整形を決断に出演しました。
新潟院 深江邦彦医師がシワ取り注射についてコメントしました。
金沢院 円戸望医師が二重術についてコメントしました。



