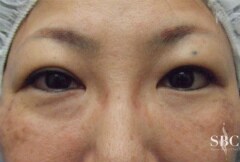
まぶたが厚く腫れぼったい方、ふたえのりで全然癖がつかない方は、まぶたの脂肪が多いことが原因と思われます。
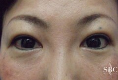
そのまぶたの余分な脂肪をわずか数ミリの切開で取り除くマイクロリポサクション法(脂肪取り二重術)がお勧めです。
| 施術方法 | まぶたにわずか数ミリの切開で余分な脂肪を除去します。 |
|---|---|
| 施術時間 | 局所麻酔下で行い約20分です。 |
| 効果 | 腫れぼったさが改善されるだけでなく、元々の二重のラインがくっきりします。 また、埋没法を組み合わせることで、二重にすることも可能です。 |
| 施術時間 | - |
| 固定 | なし |
| ダウンタイム | 1週間 |
| 腫れ (★~★★★) |
★★★ |
| 傷跡 | 二重のラインに数mm |
| 通院回数 | 1~2 |
| 抜糸 | 縫合することもあり、その場合は5~7日目 |
| 持続性 | 半永久的 |
| 洗顔 | 目元→48時間 |
| メイク | 目元→1週間 |
| シャワー | 当日 |
| 入浴 | 1週間 |
| 備考 | コンタクト 1週間後 |
まぶたの厚ぼったさが気になるケースでは皮膚自体の厚み、眼輪筋下脂肪(ROOF)の厚みが主な原因となります。一方で眼球を包んで保護している眼窩脂肪はまぶたの外側の厚みに影響があるため、マイクロリポサクションによってまぶたを若干薄く見せる効果はあります。
また、眼窩脂肪が多い場合は二重を形成しても目尻側のラインがはっきり出ない場合があります。
こういったケースではマイクロリポサクションを行うことで二重のラインが安定し、目尻側までクッキリさせることが可能です。
まぶたの厚みにお悩みの方はカウンセリングによってどのような方法が適切なのかをご提案させていただきます。
大阪梅田院副院長 兼 技術指導医 村松 英俊 医師
![]() |
![]() |
|
| 執刀医:古澤雅史 医師 |
![]() |
![]() |
|
| 執刀医:横谷仁彦 医師 |
![]() |
![]() |
|
| 執刀医:富山正行 医師 |
![]() |
![]() |
|
| 執刀医:植田一樹 医師 |
![]() |
![]() |
|
| 執刀医:福澤見菜子 医師 |
![]() |
![]() |
|
| 執刀医:福澤見菜子 医師 |
![]() |
![]() |
|
| 執刀医:加藤周 医師 |
![]() |
![]() |
|
| 執刀医:福澤見菜子 医師 |
| 目元形成 |
|---|
| 目元形成 |
| 施術名 | 価格 (税込) |
![]() |
![]() |
![]() |
![]() |
![]() |
||
| 目尻切開法 (仙台院、新宿本院、渋谷院、池袋東口院、池袋西口院、品川院、上野院、湘南メディカル記念病院(両国)、立川院、町田院、大宮院、柏院、横浜院、川崎院、名古屋院、京都院、大阪梅田院、大阪心斎橋院 限定) (お日にち限定:大阪あべの院、岡山院、広島院) |
両目 | 185,490円 | ![]() |
|||||
| 目頭切開プレミアム |
- | 185,490円 | ||||||
| マイクロリポサクション法 ※松山院では取り扱っておりません |
片目 | 32,400円 | ||||||
| 両目 | 54,270円 | |||||||
| 腫れづらく、ばれない目の上のたるみとり 眉下切開法 |
- | 230,040円 | ||||||
湘南美容クリニックは第103回日本美容外科学会学会長を務めた相川佳之をはじめ、日本美容外科学会(JSAPS)専門医、日本美容外科学会正会員、日本形成外科学会専門医 、 先進医療医師会 参与、日本再生医療学会 理事長補佐、国際美容外科学会(International Society of Aesthetic Plastic Surgery)Active Member、医学博士、厚生労働省認定臨床研修指導医、日本整形外科学会・専門医、日本麻酔科学会認定医、厚生労働省麻酔科標榜医、日本外科学会専門医・正会員、日本胸部外科学会正会員 、日本頭蓋顎顔面外科学会会員、日本静脈学会会員医学博士、日本医師会認定産業医、日本抗加齢医学会会員、日本マイクロサージャリー学会会員、GID(性同一性障害)学会会員、日本脂肪吸引学会会員、美容皮膚科学会正会員、日本レーザー治療学会会員などの資格を保有した医師が在籍しております。
新宿本院 居川和広医師が悩める女性が美容整形を決断に出演しました。
新潟院 深江邦彦医師がシワ取り注射についてコメントしました。
金沢院 円戸望医師が二重術についてコメントしました。


[an error occurred while processing this directive]
