皮膚を切開したのち、皮下にある眼輪筋や瞼板、眼窩隔膜などの処理を丁寧に行うことで切開したラインに強固な二重を作ります。
必要に応じて眼窩脂肪も除去します。
埋没法ではラインがすぐに取れてしまう方や、二重が取れる心配をしたくない方にはこの方法がおすすめです。
埋没法ではキレイなラインを作ることが難しい方に、パッチリとした理想的な二重を手に入れてもらうための施術が全切開法二重術です。最初にお客様のご希望に合わせて二重ラインをデザインします。麻酔をした後に、デザインに沿って切開を行い、内部処理や必要に応じて余分な脂肪の除去を行ってから、二重ラインを作成して皮膚を縫合します。30〜40分程度の手術です。埋没法とは違って基本的に取れることのない、半永久的な二重を実現します。キズアトについて心配される方もいますが、まぶたは皮膚が薄く元々キズが目立ちにくい部位です。また、キズが二重ラインに一致するため、正しくデザインを行い丁寧に縫合を行うことで、最終的にキズアトはほとんど目立ちません。取れる心配のない理想的な二重を求めている方には、全切開法二重術についてもご検討いただくことをおすすめします。
立川院院長 芝 容平 医師
![]() |
![]() |
|
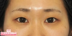
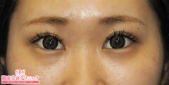
| 執刀医:芝容平 医師 |
![]() |
![]() |
|
| 執刀医:芝容平 医師 |
![]() |
![]() |
|
| 執刀医:芝容平 医師 |
![]() |
![]() |
|
![]() |
![]() |
|
| 執刀医:後藤龍学 医師 |
![]() |
![]() |
|
| 執刀医:居川和広 医師 |
![]() |
![]() |
|
| 執刀医:坂西寛信 医師 |
![]() |
![]() |
|
| 執刀医:横谷仁彦 医師 |
![]() |
![]() |
|
| 執刀医:横谷仁彦 医師 |
![]() |
![]() |
|
| 執刀医:坂西寛信 医師 |
| 施術時間 | 60分 |
| 固定 | なし |
| ダウンタイム | 1週間 |
| 腫れ (★~★★★) |
★★★ |
| 傷跡 | 二重のラインにそって |
| 通院回数 | 1~2 |
| 抜糸 | 5~7日目 |
| 持続性 | 半永久的 |
| 洗顔 | 目元→48時間 |
| メイク | 目元→1週間 |
| シャワー | 当日 |
| 入浴 | 1週間 |
| 備考 | コンタクト 1週間後 |
| 切る二重術(切開法) |
|---|
| 切る二重術(切開法) |
| 施術名 | 価格 (税込) |
![]() |
![]() |
![]() |
![]() |
![]() |
||
| 全切開法二重術 ※松山院では取り扱っておりません |
両目 | 191,560円 | ![]() |
|||||
| タルミ取り併用全切開法二重術 ※松山院では取り扱っておりません |
両目 | 270,940円 | ||||||
| 眼瞼下垂+二重 ※表参道院、千葉西口院、長野院、浜松院、京都院、大阪京橋院、高松院、松山院、小倉院では取り扱っておりません (お日にち限定:大阪駅前院、岡山院、広島院) |
片目 | 254,680円 | ||||||
| 両目 | 427,770円 | |||||||
湘南美容クリニックは第103回日本美容外科学会学会長を務めた相川佳之をはじめ、日本美容外科学会(JSAPS)専門医、日本美容外科学会正会員、日本形成外科学会専門医 、 先進医療医師会 参与、日本再生医療学会 理事長補佐、国際美容外科学会(International Society of Aesthetic Plastic Surgery)Active Member、医学博士、厚生労働省認定臨床研修指導医、日本整形外科学会・専門医、日本麻酔科学会認定医、厚生労働省麻酔科標榜医、日本外科学会専門医・正会員、日本胸部外科学会正会員 、日本頭蓋顎顔面外科学会会員、日本静脈学会会員医学博士、日本医師会認定産業医、日本抗加齢医学会会員、日本マイクロサージャリー学会会員、GID(性同一性障害)学会会員、日本脂肪吸引学会会員、美容皮膚科学会正会員、日本レーザー治療学会会員などの資格を保有した医師が在籍しております。
新宿本院 居川和広医師が悩める女性が美容整形を決断に出演しました。
新潟院 深江邦彦医師がシワ取り注射についてコメントしました。
金沢院 円戸望医師が二重術についてコメントしました。

[an error occurred while processing this directive]
